
Pneumonia
Background to the schools Wikipedia
This content from Wikipedia has been selected by SOS Children for suitability in schools around the world. SOS Children works in 45 African countries; can you help a child in Africa?
Pneumonia is an inflammatory condition of the lung—affecting primarily the microscopic air sacs known as alveoli. It is usually caused by infection with viruses or bacteria and less commonly other microorganisms, certain drugs and other conditions such as autoimmune diseases.
Typical symptoms include a cough, chest pain, fever, and difficulty breathing. Diagnostic tools include x-rays and culture of the sputum. Vaccines to prevent certain types of pneumonia are available. Treatment depends on the underlying cause. Presumed bacterial pneumonia is treated with antibiotics. If the pneumonia is severe, the affected person is generally admitted to hospital.
Annually, pneumonia affects approximately 450 million people, seven percent of the world's total, and results in about 4 million deaths. Although pneumonia was regarded by William Osler in the 19th century as "the captain of the men of death", the advent of antibiotic therapy and vaccines in the 20th century has seen improvements in survival. Nevertheless, in developing countries, and among the very old, the very young and the chronically ill, pneumonia remains a leading cause of death.
Signs and symptoms
| Symptoms frequency | |
|---|---|
| Symptom | Frequency | 
| Cough | 
           | 
        
| Fatigue | 
           | 
        
| Fever | 
           | 
        
| Shortness of breath | 
           | 
        
| Sputum | 
           | 
        
| Chest pain | 
           | 
        
People with infectious pneumonia often have a productive cough, fever accompanied by shaking chills, shortness of breath, sharp or stabbing chest pain during deep breaths, and an increased respiratory rate. In the elderly, confusion may be the most prominent sign. The typical signs and symptoms in children under five are fever, cough, and fast or difficult breathing.
Fever is not very specific, as it occurs in many other common illnesses, and may be absent in those with severe disease or malnutrition. In addition, a cough is frequently absent in children less than 2 months old. More severe signs and symptoms may include: blue-tinged skin, decreased thirst, convulsions, persistent vomiting, extremes of temperature, or a decreased level of consciousness.
Bacterial and viral cases of pneumonia usually present with similar symptoms. Some causes are associated with classic, but non-specific, clinical characteristics. Pneumonia caused by Legionella may occur with abdominal pain, diarrhea, or confusion, while pneumonia caused by Streptococcus pneumoniae is associated with rusty colored sputum, and pneumonia caused by Klebsiella may have bloody sputum often described as "currant jelly". Bloody sputum (known as hemoptysis) may also occur with tuberculosis, Gram-negative pneumonia, and lung abscesses as well as more commonly with acute bronchitis. Mycoplasma pneumonia may occur in association with swelling of the lymph nodes in the neck, joint pain, or a middle ear infection. Viral pneumonia presents more commonly with wheezing than does bacterial pneumonia.
Cause
Pneumonia is primarily due to infections caused by bacteria or viruses and less commonly by fungi and parasites. Although there are more than 100 strains of infectious agents identified, only a few are responsible for the majority of the cases. Mixed infections with both viruses and bacteria may occur in up to 45% of infections in children and 15% of infections in adults. A causative agent may not be isolated in approximately half of cases despite careful testing.
The term pneumonia is sometimes more broadly applied to any condition resulting in inflammation of the lungs (caused for example by autoimmune diseases, chemical burns or drug reactions); however, this inflammation is more accurately referred to as pneumonitis. Infective agents were historically divided into "typical" and "atypical" based on their presumed presentations, but the evidence has not supported this distinction, thus it is no longer emphasized.
Conditions and risk factors that predispose to pneumonia include: smoking, immunodeficiency, alcoholism, chronic obstructive pulmonary disease, chronic kidney disease, and liver disease. The use of acid-suppressing medications -such as proton-pump inhibitors or H2 blockers- is associated with an increased risk of pneumonia. Old age also predisposes pneumonia.
Bacteria
Bacteria are the most common cause of community-acquired pneumonia (CAP), with Streptococcus pneumoniae isolated in nearly 50% of cases. Other commonly isolated bacteria include: Haemophilus influenzae in 20%, Chlamydophila pneumoniae in 13%, and Mycoplasma pneumoniae in 3% of cases; Staphylococcus aureus; Moraxella catarrhalis; Legionella pneumophila and Gram-negative bacilli. A number of drug-resistant versions of the above infections are becoming more common, including drug-resistant Streptococcus pneumoniae (DRSP) and methicillin-resistant Staphylococcus aureus (MRSA).
The spreading of organisms is facilitated when risk factors are present. Alcoholism is associated with Streptococcus pneumoniae, anaerobic organisms and Mycobacterium tuberculosis; smoking facilitates the effects of Streptococcus pneumoniae, Haemophilus influenzae, Moraxella catarrhalis, and Legionella pneumophila. Exposure to birds is associated with Chlamydia psittaci; farm animals with Coxiella burnetti; aspiration of stomach contents with anaerobic organisms; and cystic fibrosis with Pseudomonas aeruginosa and Staphylococcus aureus.Streptococcus pneumoniae is more common in the winter, and should be suspected in persons who aspirate a large amount anaerobic organisms.
Viruses
In adults, viruses account for approximately a third and in children for about 15% of pneumonia cases. Commonly implicated agents include: rhinoviruses, coronaviruses, influenza virus, respiratory syncytial virus (RSV), adenovirus, and parainfluenza. Herpes simplex virus rarely causes pneumonia, except in groups such as: newborns, persons with cancer, transplant recipients, and people who have significant burns. People following organ transplantation or those who are otherwise immunocompromised present high rates of cytomegalovirus pneumonia. Those with viral infections may be secondarily infected with the bacteria Streptococcus pneumoniae, Staphylococcus aureus, or Haemophilus influenzae, particularly when other health problems are present. Different viruses predominate at different periods of the year, for example during influenza season influenza may account for over half of all viral cases. Outbreaks of other viruses also occasionally occur, including hantaviruses and coronavirus.
Fungi
Fungal pneumonia is uncommon, but occur more commonly in individuals with weakened immune systems due to AIDS, immunosuppressive drugs, or other medical problems. It is most often caused by Histoplasma capsulatum, blastomyces, Cryptococcus neoformans, Pneumocystis jiroveci, and Coccidioides immitis. Histoplasmosis is most common in the Mississippi River basin, and coccidioidomycosis is most common in the Southwestern United States. The number of cases have been increasing in the later half of the 20th century due to increasing travel and rates of immunosuppression in the population.
Parasites
A variety of parasites can affect the lungs, including: Toxoplasma gondii, Strongyloides stercoralis, Ascaris lumbricoides, and Plasmodium malariae. These organisms typically enter the body through direct contact with the skin, ingestion, or via an insect vector. Except for Paragonimus westermani, most parasites do not specifically affect the lungs but involve the lungs secondarily to other sites. Some parasites, particularly those belonging to the Ascaris and Strongyloides genera, stimulate a strong eosinophilic reaction, which may result in eosinophilic pneumonia. In other infections, such as malaria, lung involvement is primarily due to cytokine-induced systemic inflammation. In the developed world these infections are most common in people returning from travel or in immigrants. Globally these infections are most common in those who are immunodeficient.
Idiopathic
Idiopathic interstitial pneumonia or noninfectious pneumonia are a class of diffuse lung diseases. They include: diffuse alveolar damage, organizing pneumonia, nonspecific interstitial pneumonia, lymphocytic interstitial pneumonia, desquamative interstitial pneumonia, respiratory bronchiolitis interstitial lung disease, and usual interstitial pneumonia.
Pathophysiology
Pneumonia frequently starts as an upper respiratory tract infection that moves into the lower respiratory tract.
Viral
Viruses may reach the lung by a number of different routes. Respiratory syncytial virus is typically contracted when people touch contaminated objects and then they touch their eyes or nose. Other viral infections occur when contaminated airborne droplets are inhaled through the mouth or nose. Once in the upper airway the viruses may make their way in the lungs, where they invade the cells lining the airways, alveoli, or lung parenchyma. Some viruses such as measles and herpes simplex may reach the lungs via the blood. The invasion of the lungs may lead to varying degrees of cell death. When the immune system responds to the infection, even more lung damage may occur. White blood cells, mainly mononuclear cells, primarily generate the inflammation. As well as damaging the lungs, many viruses simultaneously affect other organs and thus disrupt other body functions. Viruses also make the body more susceptible to bacterial infections; in this way bacterial pneumonia can arise as a co-morbid condition.
Bacterial
Most bacteria enter the lungs via small aspirations of organisms residing in the throat or nose. Half of normal people have these small aspirations during sleep. While the throat always contains bacteria, potentially infectious ones reside there only at certain times and under certain conditions. A minority of types of bacteria such as Mycobacterium tuberculosis and Legionella pneumophila reach the lungs via contaminated airborne droplets. Bacteria can spread also via the blood. Once in the lungs, bacteria may invade the spaces between cells and between alveoli, where the macrophages and neutrophils (defensive white blood cells) attempt to inactivate the bacteria. The neutrophils also release cytokines, causing a general activation of the immune system. This leads to the fever, chills, and fatigue common in bacterial pneumonia. The neutrophils, bacteria, and fluid from surrounding blood vessels fill the alveoli resulting in the consolidation seen on chest X-ray.
Diagnosis
          ![]()  | 
         
            Crackles 
           Crackles heard in the lungs of a person with pneumonia using a stethoscope. 
           | 
        
| Problems listening to this file? See media help. | |
Pneumonia is typically diagnosed based on a combination of physical signs and a chest X-ray. However, the underlying cause can be difficult to confirm, as there is no definitive test able to distinguish between bacterial and non-bacterial origin. The World Health Organization has defined pneumonia in children clinically based on either a cough or difficulty breathing and a rapid respiratory rate, chest indrawing, or a decreased level of consciousness. A rapid respiratory rate is defined as greater than 60 breaths per minute in children under 2 months old, 50 breaths per minute in children 2 months to 1 year old, or greater than 40 breaths per minute in children 1 to 5 years old. In children, increased respiratory rate and lower chest indrawing are more sensitive than hearing chest crackles with a stethoscope.
In adults, investigations are generally not needed in mild cases: there is a very low risk of pneumonia if all vital signs and auscultation are normal. In persons requiring hospitalization, pulse oximetry, chest radiography and blood tests—including a complete blood count, serum electrolytes, C-reactive protein level and possibly liver function tests—are recommended. The diagnosis of influenza-like illness can be made based on the signs and symptoms; however, confirmation of an influenza infection requires testing. Thus, treatment is frequently based on the presence of influenza in the community or a rapid influenza test.
Physical exam
Physical examination may sometimes reveal low blood pressure, high heart rate or low oxygen saturation. The respiratory rate may be faster than normal and this may occur a day or two before other signs. Examination of the chest may be normal, but may show decreased chest expansion on the affected side. Harsh breath sounds from the larger airways that are transmitted through the inflamed lung are termed bronchial breathing, and are heard on auscultation with a stethoscope. Crackles (rales) may be heard over the affected area during inspiration. Percussion may be dulled over the affected lung, and increased, rather than decreased, vocal resonance distinguishes pneumonia from a pleural effusion.
Imaging
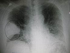
A chest radiograph is frequently used in diagnosis. In people with mild disease, imaging is needed only in those with potential complications, those who have not improved with treatment, or those in which the cause in uncertain. If a person is sufficiently sick to require hospitalization, a chest radiograph is recommended. Findings do not always correlate with the severity of a disease and do not reliably distinguish between bacterial infection and viral infection.
X-ray presentations of pneumonia may be classified as lobar pneumonia, bronchopneumonia (also known as lobular pneumonia), and interstitial pneumonia. Bacterial, community-acquired pneumonia, classically show lung consolidation of one lung segmental lobe which is known as lobar pneumonia. However, findings may vary, and other patterns are common in other types of pneumonia. Aspiration pneumonia may present with bilateral opacities primarily in the bases of the lungs and on the right side. Radiographs of viral pneumonia may appear normal, hyper-inflated, have bilateral patchy areas, or present similar to bacterial pneumonia with lobar consolidation. Radiologic findings may not be present in the early stages of the disease, especially in the presence of dehydration; or may be difficult to be interpreted in those who are obese or have a history of lung disease. A CT scan can give additional information in indeterminate cases.
Microbiology
In patients managed in the community, determining the causative agent is not cost effective and typically does not alter management. For people who do not respond to treatment, sputum culture should be considered, and culture for Mycobacterium tuberculosis should be carried out in persons with a chronic productive cough. Testing for other specific organisms may be recommended during outbreaks, for public health reasons. In those who are hospitalized for severe disease, both sputum and blood cultures are recommended, as well as testing the urine for antigens to Legionella and Streptococcus. Viral infections can be confirmed via detection of either the virus or its antigens with culture or polymerase chain reaction (PCR), among other techniques. The causative agent is determined in only 15% of cases with routine microbiological tests.
Classification
Pneumonitis refers to lung inflammation; pneumonia refers to pneumonitis, usually due to infection but sometimes non-infectious, that has the additional feature of pulmonary consolidation. Pneumonia is most commonly classified by where or how it was acquired: community-acquired, aspiration, healthcare-associated, hospital-acquired, and ventilator-associated pneumonia. It may also be classified by the area of lung affected: lobar pneumonia, bronchial pneumonia and acute interstitial pneumonia; or by the causative organism. Pneumonia in children may additionally be classified based on signs and symptoms as non-severe, severe, or very severe.
Differential diagnosis
Several diseases can present with similar signs and symptoms to pneumonia, such as: chronic obstructive pulmonary disease (COPD), asthma, pulmonary edema, bronchiectasis, lung cancer, and pulmonary emboli. Unlike pneumonia, asthma and COPD typically present with wheezing, pulmonary edema presents with an abnormal electrocardiogram, cancer and bronchiectasis present with a cough of longer duration, and pulmonary emboli presents with acute onset sharp chest pain and shortness of breath.
Prevention
Prevention includes vaccination, environmental measures and appropriate treatment of other health problems. It is believed that if appropriate preventive measures were instituted globally, mortality among children could be reduced by 400,000 and if proper treatment were universally available, childhood deaths could be decreased by another 600,000.
Vaccination
Vaccination prevents against certain bacterial and viral pneumonias both in children and adults. Influenza vaccines are modestly effective against influenza A and B. The Centre for Disease Control and Prevention (CDC) recommends yearly vaccination for every person 6 months and older. Immunizing health care workers decreases the risk of viral pneumonia among their patients. When influenza outbreaks occur, medications such as amantadine or rimantadine may help prevent the condition. It is unknown if zanamivir or oseltamivir are effective due to the fact that the company that manufactures oseltamivir has refused to release the trial data for independent analysis.
Vaccinations against Haemophilus influenzae and Streptococcus pneumoniae have good evidence to support their use. Vaccinating children against Streptococcus pneumoniae has led to a decreased incidence of these infections in adults, because many adults acquire infections from children. A Streptococcus pneumoniae vaccine is available for adults, and has been found to decrease the risk of invasive pneumococcal disease. Other vaccines for which there to support for a protective effect against pneumonia include: pertussis, varicella, and measles.
Other
Smoking cessation and reducing indoor air pollution, such as that from cooking indoors with wood or dung, are both recommended. Smoking appears to be the single biggest risk factor for pneumococcal pneumonia in otherwise healthy adults. Hand hygiene and coughing into ones sleeve may also be effective preventative measures. Wearing surgical masks by those who are sick may also prevent illness.
Appropriately treating underlying illnesses (such as HIV/AIDS, diabetes mellitus, and malnutrition) can decrease the risk of pneumonia. In children less than 6 months of age exclusive breast feeding reduces both the risk and severity of disease. In those with HIV/AIDS and a CD4 count of less than 200 cells/uL the antibiotic trimethoprim/sulfamethoxazole decreases the risk of Pneumocystis pneumonia and may also be useful for prevention in those who are immunocomprised but do not have HIV.
Testing pregnant women for Group B Streptococcus and Chlamydia trachomatis, and administering antibiotic treatment, if needed, reduces rates of pneumonia in infants; preventive measures for HIV transmission from mother to child may also be efficient. Suctioning the mouth and throat of infants with meconium-stained amniotic fluid has not been found to reduce the rate of aspiration pneumonia and may cause potential harm, thus this practice is not recommended in the majority of situations. In the frail elderly good oral health care may lower the risk of aspiration pneumonia.
Management
| CURB-65 | |
|---|---|
| Symptom | Points | 
| Confusion | 
           | 
        
| Urea>7 mmol/l | 
           | 
        
| Respiratory rate>30 | 
           | 
        
| SBP<90mmHg, DBP<60mmHg | 
           | 
        
| Age>=65 | 
           | 
        
Typically, oral antibiotics, rest, simple analgesics, and fluids suffice for complete resolution. However, those with other medical conditions, the elderly, or those with significant trouble breathing may require more advanced care. If the symptoms worsen, the pneumonia does not improve with home treatment, or complications occur, hospitalization may be required. Worldwide, approximately 7–13% of cases in children result in hospitalization while in the developed world between 22 and 42% of adults with community-acquired pneumonia are admitted. The CURB-65 score is useful for determining the need for admission in adults. If the score is 0 or 1 people can typically be managed at home, if it is 2 a short hospital stay or close follow-up is needed, if it is 3–5 hospitalization is recommended. In children those with respiratory distress or oxygen saturations of less than 90% should be hospitalized. The utility of chest physiotherapy in pneumonia has not yet been determined. Non-invasive ventilation may be beneficial in those admitted to the intensive care unit. Over-the-counter cough medicine has not been found to be effective nor has the use of zinc in children. There is insufficient evidence for mucolytics.
Bacterial
Antibiotics improve outcomes in those with bacterial pneumonia. Antibiotic choice depends initially on the characteristics of the person affected, such as age, underlying health, and the location the infection was acquired. In the UK, empiric treatment with amoxicillin is recommended as the first line for community-acquired pneumonia, with doxycycline or clarithromycin as alternatives. In North America, where the "atypical" forms of community-acquired pneumonia are more common, macrolides (such as azithromycin or erythromycin), and doxycycline have displaced amoxicillin as first-line outpatient treatment in adults. In children with mild or moderate symptoms amoxicillin remains the first line. The use of fluoroquinolones in uncomplicated cases is discouraged due to concerns about side effects and generating resistance in light of there being no greater clinical benefit. The duration of treatment has traditionally been seven to ten days, but increasing evidence suggests that shorter courses (three to five days) are similarly effective. Recommended for hospital-acquired pneumonia include third- and fourth-generation cephalosporins, carbapenems, fluoroquinolones, aminoglycosides, and vancomycin. These antibiotics are often given intravenously and used in combination. In those treated in hospital more than 90% improve with the initial antibiotics.
Viral
Neuraminidase inhibitors may be used to treat viral pneumonia caused by influenza viruses ( influenza A and influenza B). No specific antiviral medications are recommended for other types of community acquired viral pneumonias including SARS coronavirus, adenovirus, hantavirus, and parainfluenza virus. Influenza A may be treated with rimantadine or amantadine, while influenza A or B may be treated with oseltamivir, zanamivir or peramivir. These are of most benefit if they are started within 48 hours of the onset of symptoms. Many strains of H5N1 influenza A, also known as avian influenza or "bird flu," have shown resistance to rimantadine and amantadine. The use of antibiotics in viral pneumonia is recommended by some experts as it is impossible to rule out a complicating bacterial infection. The British Thoracic Society recommends that antibiotics be withheld in those with mild disease. The use of corticosteroids is controversial.
Aspiration
In general, aspiration pneumonitis is treated conservatively with antibiotics indicated only for aspiration pneumonia. The choice of antibiotic will depend on several factors, including the suspected causative organism and whether pneumonia was acquired in the community or developed in a hospital setting. Common options include clindamycin, a combination of a beta-lactam antibiotic and metronidazole, or an aminoglycoside. Corticosteroids are sometimes used in aspiration pneumonia, but there is limited evidence to support their effectiveness.
Prognosis
With treatment, most types of bacterial pneumonia will stabilize in 3–6 days. It often takes a few weeks before most symptoms resolve. X-ray finding typically clear within four weeks and mortality is low (less than 1%). In the elderly or people who have other lung problems recovery may take more than 12 weeks. In persons who require hospitalization mortality may be as high as 10% and in those who require intensive care it may reach 30–50%. Pneumonia is the most common hospital-acquired infection that causes death. Before the advent of antibiotics, mortality was typically 30% in those who were hospitalized.
Complications may occur particularly in the elderly and those with underlying health problems. This may include, among others: empyema, lung abscess, bronchiolitis obliterans, acute respiratory distress syndrome, sepsis, and worsening of underlying health problems.
Clinical prediction rules
Clinical prediction rules have been developed to more objectively predict outcomes of pneumonia. These rules are often used in deciding whether or not to hospitalize the person.
- Pneumonia severity index (or PSI Score)
 - CURB-65 score, which takes into account the severity of symptoms, any underlying diseases, and age
 
Pleural effusion, empyema, and abscess
In pneumonia, a collection of fluid may form in the space that surrounds the lung. Occasionally, microorganisms will infect this fluid, causing an empyema. To distinguish an empyema from the more common simple parapneumonic effusion, the fluid may be collected with a needle ( thoracentesis), and examined. If this shows evidence of empyema, complete drainage of the fluid is necessary, often requiring a drainage catheter. In severe cases of empyema, surgery may be needed. If the infected fluid is not drained, the infection may persist, because antibiotics do not penetrate well into the pleural cavity. If the fluid is sterile, it needs to be drained only if it is causing symptoms or remains unresolved.
Rarely, bacteria in the lung will form a pocket of infected fluid called a lung abscess. Lung abscesses can usually be seen with a chest X-ray but frequently require a chest CT scan to confirm the diagnosis. Abscesses typically occur in aspiration pneumonia, and often contain several types of bacteria. Long term antibiotics are usually adequate to treat a lung abscess, but sometimes the abscess must be drained by a surgeon or radiologist.
Respiratory and circulatory failure
Pneumonia can cause respiratory failure by triggering acute respiratory distress syndrome (ARDS), which results from a combination of infection and inflammatory response. The lungs quickly fill with fluid and become stiff. This stiffness, combined with severe difficulties extracting oxygen due to the alveolar fluid, may require long periods of mechanical ventilation for survival.
Sepsis is a potential complication of pneumonia but occurs typically only in people with poor immunity or hyposplenism. The organisms most commonly involved are Streptococcus pneumoniae, Haemophilus influenzae and Klebsiella pneumoniae. Other causes of the symptoms should be considered such as a myocardial infarction or a pulmonary embolism.
Epidemiology
Pneumonia is a common illness affecting approximately 450 million people a year and occurring in all parts of the world. It is a major cause of death among all age groups resulting in 4 million deaths (7% of the world's total death) yearly. Rates are greatest in children less than five, and adults older than 75 years. It occurs about five times more frequently in the developing world than in the developed world. Viral pneumonia accounts for about 200 million cases. In the United States, as of 2009, pneumonia is the 8th leading cause of death.
Children
In 2008, pneumonia occurred in approximately 156 million children (151 million in the developing world and 5 million in the developed world). In 2010 it resulted in 1.3 million deaths, or 18% of all deaths in those under five years, of which 95% occurred in the developing world. Countries with the greatest burden of disease include: India (43 million), China (21 million) and Pakistan (10 million). It is the leading cause of death among children in low income countries. Many of these deaths occur in the newborn period. The World Health Organization estimates that one in three newborn infant deaths is due to pneumonia. Approximately half of these deaths can theoretically be prevented, as they are caused by the bacteria for which an effective vaccine is available.
History
Pneumonia has been a common disease throughout human history. The symptoms were described by Hippocrates (c. 460 BC – 370 BC): "Peripneumonia, and pleuritic affections, are to be thus observed: If the fever be acute, and if there be pains on either side, or in both, and if expiration be if cough be present, and the sputa expectorated be of a blond or livid colour, or likewise thin, frothy, and florid, or having any other character different from the common... When pneumonia is at its height, the case is beyond remedy if he is not purged, and it is bad if he has dyspnoea, and urine that is thin and acrid, and if sweats come out about the neck and head, for such sweats are bad, as proceeding from the suffocation, rales, and the violence of the disease which is obtaining the upper hand." However, Hippocrates referred to pneumonia as a disease "named by the ancients." He also reported the results of surgical drainage of empyemas. Maimonides (1135–1204 AD) observed: "The basic symptoms that occur in pneumonia and that are never lacking are as follows: acute fever, sticking pleuritic pain in the side, short rapid breaths, serrated pulse and cough." This clinical description is quite similar to those found in modern textbooks, and it reflected the extent of medical knowledge through the Middle Ages into the 19th century.
Edwin Klebs was the first who observed bacteria in the airways of persons who died of pneumonia in 1875. Initial work identifying the two common bacterial causes, Streptococcus pneumoniae and Klebsiella pneumoniae, was performed by Carl Friedländer and Albert Fränkel in 1882 and 1884, respectively. Friedländer's initial work introduced the Gram stain, a fundamental laboratory test still used today to identify and categorize bacteria. Christian Gram's paper describing the procedure in 1884 helped to differentiate the two bacteria, and showed that pneumonia could be caused by more than one microorganism.
Sir William Osler, known as "the father of modern medicine," appreciated the death and disability caused by pneumonia, describing it as the "captain of the men of death" in 1918, as it had overtaken tuberculosis as one of the leading causes of death in this time. This phrase was originally coined by John Bunyan in reference to "consumption" (tuberculosis). Osler also described pneumonia as "the old man's friend" as death was often quick and painless when there were many slower more painful ways to die.
Several developments in the 1900s improved the outcome for those with pneumonia. With the advent of penicillin and other antibiotics, modern surgical techniques, and intensive care in the 20th century, mortality from pneumonia, had approached 30%, dropped precipitously in the developed world. Vaccination of infants against Haemophilus influenzae type B began in 1988 and led to a dramatic decline in cases shortly thereafter. Vaccination against Streptococcus pneumoniae in adults began in 1977, and in children in 2000, resulting in a similar decline.
Society and culture
Due to the high burden of disease in developing countries and a relatively low awareness of the disease in developed countries, the global health community has declared 12th November as World Pneumonia Day, a day for concerned citizens and policy makers to take action against the disease. The global economic cost of community-acquired pneumonia has been estimated at $17 billion.








