
Cataract
Did you know...
SOS Children have produced a selection of wikipedia articles for schools since 2005. Sponsor a child to make a real difference.

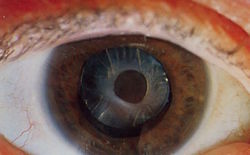
A cataract is a clouding that develops in the crystalline lens of the eye or in its envelope, varying in degree from slight to complete opacity and obstructing the passage of light. Early in the development of age-related cataract the power of the lens may be increased, causing near-sightedness ( myopia), and the gradual yellowing and opacification of the lens may reduce the perception of blue colours. Cataracts typically progress slowly to cause vision loss and are potentially blinding if untreated.
A senile cataract, occurring in the aged, is characterized by an initial opacity in the lens, subsequent swelling of the lens and final shrinkage with complete loss of transparency. Moreover, with time the cataract cortex liquefies to form a milky white fluid in a Morgagnian cataract, which can cause severe inflammation if the lens capsule ruptures and leaks. Untreated, the cataract can cause phacomorphic glaucoma. Very advanced cataracts with weak zonules are liable to dislocation anteriorly or posteriorly. Such spontaneous posterior dislocations (akin to the historical surgical procedure of couching) in ancient times were regarded as a blessing from the heavens, because some perception of light was restored in the cataractous patients.
Cataract derives from the Latin cataracta meaning "waterfall" and the Greek kataraktes and katarrhaktes, from katarassein meaning "to dash down" (kata-, "down"; arassein, "to strike, dash"). As rapidly running water turns white, the term may later have been used metaphorically to describe the similar appearance of mature ocular opacities. In Latin, cataracta had the alternate meaning " portcullis", so it is also possible that the name came about through the sense of "obstruction". Early Persian physicians called the term nazul-i-ah, or 'descent of the water' - vulgarised into waterfall disease or cataract - believing such blindness to be caused by an outpouring of corrupt humour into the eye. In dialect English a cataract is called a pearl, as in "pearl eye" and "pearl-eyed".
Causes
Cataracts develop from a variety of reasons, including long-term ultraviolet exposure, exposure to radiation, secondary effects of diseases such as diabetes, hypertension and advanced age; they are usually a result of denaturation of lens proteins. Genetic factors are often a cause of congenital cataracts and positive family history may also play a role in predisposing someone to cataracts at an earlier age, a phenomenon of "anticipation" in pre-senile cataracts. Cataracts may also be produced by eye injury or physical trauma. A study among Icelandair pilots showed commercial airline pilots as three times more likely to develop cataracts than people with non-flying jobs. This is thought to be caused by excessive exposure to radiation coming from outer space. Cataracts are also unusually common in persons exposed to infrared radiation, such as glassblowers who suffer from "exfoliation syndrome". Exposure to microwave radiation can cause cataracts.
Cataracts may be partial or complete, stationary or progressive, hard or soft.
Some drugs can induce cataract development, such as Corticosteroids and Ezetimibe and Seroquel.
There are various types of cataract, e.g. nuclear, cortical, mature, hypermature. Cataracts are also classified by their location, e.g. posterior (classically due to steroid use) and anterior (common (senile) cataract related to aging).
Epidemiology
Age-related cataract is responsible for 48% of world blindness, which represents about 18 million people, according to the World Health Organization (WHO). In many countries surgical services are inadequate, and cataracts remain the leading cause of blindness. As populations age, the number of people with cataracts is growing. Cataracts are also an important cause of low vision in both developed and developing countries. Even where surgical services are available, low vision associated with cataracts may still be prevalent, as a result of long waits for operations and barriers to surgical uptake, such as cost, lack of information and transportation problems.
In the United States, age-related lenticular changes have been reported in 42% of those between the ages of 52 to 64, 60% of those between the ages 65 and 74, and 91% of those between the ages of 75 and 85.
Cataract surgery
When a cataract is "ripe" (sufficiently developed to be removed by surgery), the most effective and common treatment is to make an incision (capsulotomy) into the capsule of the cloudy lens in order to surgically remove the lens. There are two types of eye surgery that can be used to remove cataracts: extra-capsular (extracapsular cataract extraction, or ECCE) and intra-capsular (intracapsular cataract extraction, or ICCE).
Extra-capsular (ECCE) surgery consists of removing the lens but leaving the majority of the lens capsule intact. High frequency sound waves ( phacoemulsification) are sometimes used to break up the lens before extraction.
Intra-capsular (ICCE) surgery involves removing the entire lens of the eye, including the lens capsule, but it is rarely performed in modern practice.
In either extra-capsular surgery or intra-capsular surgery, the cataractous lens is removed and replaced with a plastic lens (an intraocular lens implant) which stays in the eye permanently.
Cataract operations are usually performed using a local anaesthetic and the patient is allowed to go home the same day. Recent improvements in intraocular technology now allow cataract patients to choose a multifocal lens to create a visual environment in which they are less dependent on glasses. Under some medical systems multifocal lenses cost extra. Traditional intraocular lenses are monofocal.
Complications are possible after cataract surgery, including endophthalmitis, posterior capsular opacification and retinal detachment.
In ICCE there is the issue of the Jack in the box phenomenon where the patient has to wear aphakic glasses - alternatives include contact lenses but these can prove to be high maintenance, particularly in dusty areas.
Prevention
Although cataracts have no scientifically proven prevention, it is sometimes said that wearing ultraviolet-protecting sunglasses may slow the development of cataracts. Regular intake of antioxidants (such as vitamin A, C and E) is theoretically helpful, but taking them as a supplement has been shown to have no benefit.
Recent research
Although statins are known for their ability to lower lipids, they are also believed to have antioxidant qualities. It is believed that oxidative stress plays a role in the development of nuclear cataracts, which are the most common type of age-related cataract. To explore the relationship between nuclear cataracts and statin use, a group of researchers took a group of 1299 patients who were at risk of developing nuclear cataracts and gave some of them statins. Their results suggest that statin use in a general population may be associated with a lower risk of developing nuclear cataract disease.
Research is scant and mixed but weakly positive for the nutrients lutein and zeaxanthin. Bilberry extract shows promise in rat models and in clinical studies.
Types of cataracts
The following is a classification of the various types of cataracts. This is not comprehensive and other unusual types may be noted.
- Classified by etiology
 
- 
         
- Age-related cataract
 
- 
           
- Immature Senile Cataract (IMSC) - partially opaque lens, disc view hazy
 - Mature Senile Cataract (MSC) - Completely opaque lens, no disc view
 - Hypermature Senile Cataract (HMSC) - Liquefied cortical matter: Morgagnian Cataract
 
 
- Congenital cataract
 
- 
           
- Sutural cataract
 - Lamellar cataract
 - Zonular cataract
 - Total cataract
 
 
- Secondary cataract
 
 
- 
         
- 
           
- Drug-induced cataract (e.g. Corticosteroids)
 
 
- Traumatic cataract
 
- 
           
- Blunt trauma (capsule usually intact)
 - Penetrating trauma (capsular rupture & leakage of lens material - calls for an emergency surgery for extraction of lens and leaked material to minimize further damage)
 
 
 - 
           
 
- Classified by location of opacity within lens structure (However, mixed morphology is quite commonly seen, e.g. PSC with nuclear changes & cortical spokes of cataract)
 
- 
         
- Anterior cortical cataract
 - Anterior polar cataract
 - Anterior subcapsular cataract
 
 
- 
         
- Nuclear cataract - Grading correlates with hardness & difficulty of surgical removal
 
- 
           
- 1 - Grey
 - 2 - Yellow
 - 3 - Amber
 - 4 - Brown/Black (Note: "Black cataract" translated in some languages (like Hindi) refers to Glaucoma, not the colour of the lens nucleus)
 
 
- Posterior cortical cataract
 - Posterior polar cataract (importance lies in higher risk of complication - posterior capsular tears during surgery)
 - Posterior subcapsular cataract (PSC) (clinically common)
 
- 
           
- After-cataract - posterior capsular opacification subsequent to a successful extracapsular cataract surgery (usually within 3 months - 2 years) with or without IOL implantation. Requires a quick & painless office procedure with Nd:YAG laser capsulotomy to restore optical clarity.
 
 
 
Associations with systemic conditions
- Chromosomal disorders
 
- 
         
- Alport's syndrome
 - Cri-du-chat syndrome
 - Conradi's syndrome
 - Myotonic dystrophy
 - Patau's syndrome
 - Schmid-Fraccaro syndrome
 - Trisomy 18 ( Edward's syndrome)
 - Turner's syndrome
 
 
- Disease of the skin and mucous membranes
 
- 
         
- Atopic dermatitis
 - Basal-cell nevus syndrome
 - Ichthyosis
 - Pemphigus
 
 
- Metabolic and nutrition diseases
 
- 
         
- Aminoaciduria ( Lowe's syndrome)
 - Diabetes mellitus
 - Fabry's disease
 - Galactosemia / Galactosemic Cataract
 - Homocystinuria
 - Hypervitaminosis D
 - Hyperparathyroidism
 - Hypothyroidism
 - Mucopolysaccharidoses
 - Wilson's disease
 
 
- 
         
- Congenital
 
- 
           
- Congential herpes simplex
 - Congenital syphilis
 - Cytomegalic inclusion disease
 - Rubella
 
 
- Others
 
- 
           
- Cysticercosis
 - Leprosy
 - Onchocerciasis
 - Toxoplasmosis
 
 
 
- Toxic substances introduced systemically
 
- 
         
- Corticosteroids
 - Haloperidol
 - Miotics
 - Triparanol
 
 






