Checked content

File:T21.JPG

T21.JPG(599 × 408 pixels, file size: 25 KB, MIME type: image/jpeg)
Description

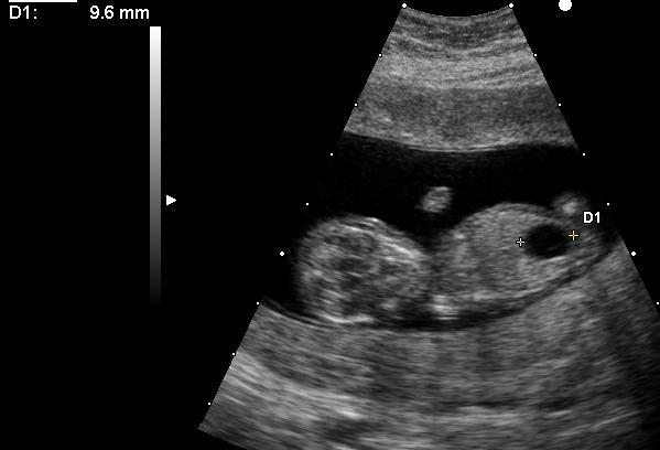
Méga vessie chez un embryon porteur d'une trisomie 21.Megacystis in embryo with Down'syndrome.

Date 30 March 2006
Source Image créée lors de mon travail.
Author X.Compagnion
Permission
( Reusing this file)

Voir ci dessous

Public domain This work has been released into the public domain by its author, Mirmillon. This applies worldwide.
In some countries this may not be legally possible; if so:
Mirmillon grants anyone the right to use this work for any purpose, without any conditions, unless such conditions are required by law.

The following pages on Schools Wikipedia link to this image (list may be incomplete):

Learn more

Learning is fun and easy with Schools Wikipedia. The world's largest orphan charity, SOS Childrens Villages brings a better life to more than 2 million people in 133 countries around the globe. Have you heard about child sponsorship? Visit our web site to find out.