 |
This is a file from the Wikimedia Commons. Information from its description page there is shown below. Commons is a freely licensed media file repository. You can help.
|
| Description |
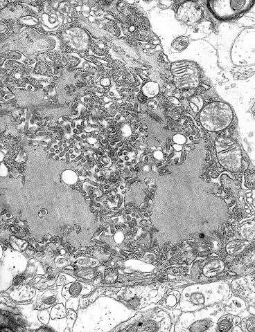
ID#: 1876 Description: Electron micrograph of the Rabies Virus. This electron micrograph shows the rabies virus, as well as Negri bodies, or cellular inclusions.
Content Providers(s): CDC/Dr. Fred Murphy Creation Date: 1975 Copyright Restrictions: None - This image is in the public domain and thus free of any copyright restrictions. As a matter of courtesy we request that the content provider be credited and notified in any public or private usage of this image. |
| Date |
|
| Source |
http://phil.cdc.gov/PHIL_Images/03082002/00012/PHIL_1876_lores.jpg high res.: |
| Author |
This file is lacking author information.
|
Permission ( Reusing this file) |
| Public domainPublic domainfalsefalse |
 |
This image is a work of the Centers for Disease Control and Prevention, part of the United States Department of Health and Human Services, taken or made as part of an employee's official duties. As a work of the U.S. federal government, the image is in the public domain.
česky | Deutsch | English | español | eesti | suomi | français | italiano | македонски | Nederlands | polski | português | slovenščina | 中文 | 中文(简体) | +/−
|
|
|
File usage
The following pages on Schools Wikipedia link to this image (list may be incomplete):
All five editions of Schools Wikipedia were compiled by SOS Children. SOS Childrens Villages believes that a decent childhood is essential to a happy, healthy. Our community work brings families new opportunities through education, healthcare and all manner of support. We have helped children in Africa for many years - you can help too...